Beschreibung
Die Blastomykose der Haut ist eine Pilzinfektion, die durch die Ausbreitung von Blastomyces dermatitidis aus der Lunge auf die Haut entsteht. Zu den typischen Symptomen gehören unterschiedliche Hautläsionen wie Pusteln, Geschwüre und verruköse Wucherungen, die schmerzhaft sein können und oft andere Hauterkrankungen imitieren, was die Diagnose erschwert.
Die Krankheit tritt vor allem in Nordamerika auf, insbesondere im Südosten der Vereinigten Staaten, an den Großen Seen und in den Tälern des Ohio und des Mississippi, wo der Pilz in feuchten und bewaldeten Gebieten gedeiht. Historische Fälle sind eng mit diesen Regionen verbunden, was die Umweltabhängigkeit des Pilzes unterstreicht.
Die Diagnose wird durch eine Hautbiopsie und eine Laborkultur bestätigt, bei der der Pilz sichtbar gemacht oder angezüchtet werden kann. Zum Nachweis kann auch ein Polymerase-Kettenreaktionstest (PCR) verwendet werden. Die Behandlung umfasst in der Regel eine lang anhaltende antimykotische Therapie mit Medikamenten wie Itraconazol oder in schweren Fällen Amphotericin B.
Zu den Ursachen gehören die hämatogene Ausbreitung aus einer anfänglichen Lungeninfektion oder, seltener, die direkte Inokulation aus kontaminiertem Boden. Risikofaktoren sind Tätigkeiten, bei denen der Boden in endemischen Gebieten gestört wird, sowie immungeschwächte Personen.
Die Prävention konzentriert sich auf die Minimierung der Exposition in endemischen Gebieten, das Tragen von Schutzkleidung bei risikoreichen Tätigkeiten und die Sensibilisierung derjenigen, die in diesen Regionen leben oder sie besuchen. Frühzeitige Erkennung und Behandlung sind entscheidend, um schwerwiegende Folgen zu verhindern.
Die Biologie dahinter
Die Blastomykose der Haut betrifft in erster Linie die Haut, das größte Organ des Körpers, das als erste Verteidigungslinie gegen Umweltgefahren dient. Die Haut reguliert die Temperatur, verhindert Wasserverluste und schützt tiefer liegendes Gewebe vor Verletzungen und Infektionen. Sie besteht aus mehreren Schichten, darunter die schützende äußere Schicht (Epidermis) und die tiefere, stützende Schicht (Dermis), die Nervenenden, Schweißdrüsen und Haarfollikel enthält.
Wenn sich Blastomyces dermatitidis auf der Haut ausbreitet, typischerweise von der Lunge über die Blutbahn, beginnt er, die Hautzellen zu infizieren. Die Hefeform des Pilzes dringt in die Epidermis und manchmal auch in die Dermis ein und führt zu Entzündungsreaktionen. Dies führt zur Bildung von Pusteln, Geschwüren und anderen Läsionen, die die normalen Barriere- und Regulierungsfunktionen der Haut stören.
Die anhaltende Infektion und Entzündung kann weitere Schäden verursachen, da die Fähigkeit der Haut, zu heilen und richtig zu funktionieren, beeinträchtigt wird. Chronische Läsionen können zu Narbenbildung und zum Abbau von Hautgewebe führen, was in schweren Fällen Sekundärinfektionen und andere systemische Komplikationen zur Folge haben kann. Diese Störung beeinträchtigt nicht nur die Schutzfunktion der Haut, sondern kann auch ihre sensorischen und regulatorischen Funktionen beeinträchtigen, was sich erheblich auf die allgemeine Gesundheit auswirkt.
Arten und Symptome
Die kutane Blastomykose, eine Form der Hautinfektion, tritt auf, wenn der Pilzerreger Blastomyces dermatitidis von einer primären Lungeninfektion auf die Haut übergreift. Die kutane Manifestation dieser Krankheit ist besonders schwierig zu diagnostizieren, da sie sich sehr unterschiedlich darstellt und andere häufige dermatologische Erkrankungen imitieren kann, was eine rechtzeitige und genaue Behandlung erschwert.
Symptome:
- Pustulöse Läsionen: Dabei handelt es sich um kleine, erhabene, mit Eiter gefüllte Flecken, die einer schweren Akne oder Follikulitis ähneln können. Diese Läsionen können aufplatzen und offene Wunden bilden, die zu Geschwüren neigen.
- Ulzerative Läsionen: Sie sind schwerwiegender als pustulöse Läsionen und gehen mit einem Verlust von Hautgewebe einher, was zu tieferen Wunden führt, die nur langsam abheilen. Die Geschwüre sind oft schmerzhaft und haben scharf begrenzte, erhabene Ränder, aus denen Flüssigkeit austreten oder bluten kann, was das Risiko einer Sekundärinfektion erhöht.
- Verruköse Läsionen: Diese durch ihr warzenartiges Aussehen gekennzeichneten Läsionen sind dick und rau und ähneln Plattenepithelkarzinomen oder Keratoakanthomen. Sie können sich mit der Zeit ausdehnen und bluten oft, wenn sie verletzt werden, was für die Patienten sehr belastend sein kann.
Komplikationen:
- Sekundärinfektion: Die offenen und ulzerierten Läsionen bieten eine Eintrittspforte für bakterielle Erreger und führen zu Sekundärinfektionen, die das klinische Bild verkomplizieren und den Heilungsprozess behindern können.
- Narbenbildung: Chronische Läsionen, insbesondere solche, die wiederholt infiziert sind oder nur langsam abheilen, führen häufig zu einer erheblichen Narbenbildung. Diese Narbenbildung kann entstellend sein, insbesondere wenn sich die Läsionen an sichtbaren Stellen wie dem Gesicht oder den Armen befinden.
- Ausbreitung: Obwohl der Pilz in erster Linie die Haut befällt, kann er sich bei immungeschwächten Patienten oder bei verzögerter Behandlung auch auf andere Organe wie Knochen, Gelenke oder sogar das zentrale Nervensystem ausbreiten und zu einer schwereren systemischen Erkrankung führen.
Das variable Erscheinungsbild der kutanen Blastomykose erfordert ein hohes Maß an klinischem Misstrauen, insbesondere bei Patienten aus endemischen Gebieten oder bei Patienten mit zugrunde liegenden Lungeninfektionen.
Untersuchung und Diagnose
Die Diagnose der kutanen Blastomykose erfordert eine Kombination aus klinischer Beurteilung und Labortests, um das Vorhandensein von Blastomyces dermatitidis genau zu bestimmen. Aufgrund der Ähnlichkeit der Hauterscheinungen mit anderen dermatologischen Erkrankungen ist eine sorgfältige und gründliche Diagnose entscheidend für die Bestätigung der Infektion und die Einleitung einer geeigneten Behandlung.
Klinische Untersuchung:
Eine detaillierte Anamnese ist unerlässlich, um mögliche Expositionsrisiken und frühere Gesundheitszustände zu beurteilen. Der Arzt erkundigt sich nach jüngsten Aktivitäten, Reisen in endemische Gebiete und nach einer bekannten Exposition gegenüber gestörtem Boden. Eine Anamnese mit Atemwegssymptomen könnte ebenfalls auf einen Zusammenhang mit pulmonaler Blastomykose hindeuten und damit einen Hinweis auf die Diagnose liefern.
Die körperliche Untersuchung konzentriert sich auf die Hautläsionen. Die Merkmale der Läsionen wie Größe, Tiefe, Anzahl und Verteilung werden beurteilt. Das Vorhandensein von Geschwüren, Ausfluss und Anzeichen einer Sekundärinfektion sind ebenfalls wichtige diagnostische Indikatoren.
Labortests und Bildgebung:
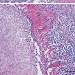
- Hautbiopsie: Eine Biopsie der Läsion ist für die endgültige Diagnose entscheidend. Bei der histopathologischen Untersuchung können die charakteristischen breitbasigen, knospenden Hefen von Blastomyces nachgewiesen werden.
- Kultur: Die Kultivierung des Pilzes aus Hautabschabungen oder Biopsiematerial kann die Diagnose bestätigen, obwohl es mehrere Wochen dauern kann, bis diese Methode Ergebnisse liefert.
- PCR (Polymerase-Kettenreaktion): Mit PCR-Tests lässt sich die DNA von Blastomyces dermatitidis in Hautproben schnell nachweisen, was eine schnellere Diagnose ermöglicht als eine Kultur.
- Bildgebende Untersuchungen: Obwohl bei kutaner Blastomykose in der Regel nicht erforderlich, können bildgebende Untersuchungen durchgeführt werden, wenn der Verdacht auf eine systemische Beteiligung besteht oder um das Ausmaß der Infektion zu beurteilen, insbesondere wenn eine Infektion der Knochen oder tieferen Gewebe vermutet wird.
Korrekte Diagnoseprotokolle gewährleisten die genaue Identifizierung der kutanen Blastomykose und ermöglichen eine rechtzeitige und wirksame Behandlung, um das Risiko von Komplikationen zu mindern und die Heilung zu fördern.
Therapie und Behandlungen
Eine wirksame Behandlung der kutanen Blastomykose ist entscheidend für das Abklingen der Hautläsionen und die Verhinderung der Ausbreitung der Infektion auf andere Organe. Die Therapie besteht in der Regel aus einer Kombination von antimykotischen Medikamenten, die auf den Schweregrad der Infektion und den allgemeinen Gesundheitszustand des Patienten abgestimmt sind.
Antimykotische Therapie:
- Leichte bis mittelschwere Infektionen: Bei weniger schweren Fällen sind orale Antimykotika wie Itraconazol die Behandlung der Wahl. Itraconazol wird über einen Zeitraum von 6 bis 12 Monaten verabreicht, je nach Ansprechen des Patienten auf die Behandlung und dem Ausmaß der Erkrankung.
- Schwere Fälle: In schwereren Fällen oder wenn die Infektion auf die Erstbehandlung nicht anspricht, kann Amphotericin B erforderlich sein. Dieses Medikament wird intravenös verabreicht und ist für seine Wirksamkeit gegen ein breites Spektrum von Pilzinfektionen bekannt. Aufgrund möglicher Nebenwirkungen, einschließlich Nierentoxizität, wird seine Anwendung jedoch genau überwacht.
Symptombehandlung:
- Schmerzlinderung: Freiverkäufliche Schmerzmittel wie Paracetamol oder Ibuprofen können zur Behandlung von Schmerzen im Zusammenhang mit Hautläsionen oder damit verbundenen systemischen Symptomen eingesetzt werden.
- Pflege von Wunden: Die richtige Pflege von ulzerierten Läsionen ist wichtig, um sekundäre bakterielle Infektionen zu verhindern. Dazu gehören die regelmäßige Reinigung, die Anwendung topischer Antimykotika oder antibiotischer Cremes, wenn eine bakterielle Infektion vermutet wird.
Überwachung und Anpassungen:
- Regelmäßige Nachsorge: Patienten, die sich einer Behandlung gegen kutane Blastomykose unterziehen, müssen regelmäßig überwacht werden, um die Wirksamkeit der Therapie zu beurteilen und notwendige Anpassungen vorzunehmen. Zu den Nachuntersuchungen gehören in der Regel körperliche Untersuchungen, erneute bildgebende Untersuchungen und möglicherweise zusätzliche Biopsien, um sicherzustellen, dass die Infektion abklingt.
- Anpassung der Behandlung: Je nach Ansprechen des Patienten kann das Behandlungsschema angepasst werden. Bei einigen Patienten kann eine Erhöhung der Dosierung oder ein Wechsel zu einem anderen Antimykotikum erforderlich sein, wenn die anfängliche Reaktion unzureichend ist.
Unterstützende Maßnahmen:
Die Sicherstellung einer angemessenen Ernährung kann die Immunfunktion und die allgemeine Genesung unterstützen. Den Patienten kann geraten werden, ihre Ernährung anzupassen, um ihre Gesundheit während der Behandlung zu verbessern.
Ursachen und Risikofaktoren
Das Verständnis der Ursachen und Risikofaktoren der kutanen Blastomykose ist für die Prävention und eine wirksame Behandlung von entscheidender Bedeutung. Diese Pilzinfektion kann zu schweren Hautläsionen und anderen gesundheitlichen Komplikationen führen, wenn sie nicht richtig behandelt wird.
Ursachen:
Die kutane Blastomykose wird hauptsächlich durch den Pilz Blastomyces dermatitidis verursacht. Die Infektion beginnt typischerweise in der Lunge, wenn Pilzsporen aus der Umwelt eingeatmet werden. Sie kann sich dann über den Blutkreislauf auf die Haut und andere Organe ausbreiten. In der Haut bildet der Pilz hefeartige Zellen, die das Gewebe infizieren und zu entzündlichen Läsionen führen. Diese Ausbreitung ist bei Personen mit geschwächtem Immunsystem wahrscheinlicher, wenn die anfängliche Lungeninfektion ohne ausreichende Immunabwehr fortschreitet.
Risikofaktoren:
- Umweltexposition: Personen, die in endemischen Gebieten leben oder diese besuchen (z. B. in der Nähe der Flusstäler des Ohio und des Mississippi), sind einem höheren Risiko ausgesetzt, da sie mit größerer Wahrscheinlichkeit mit den Pilzsporen im Boden in Kontakt kommen.
- Immungeschwächter Zustand: Menschen mit geschwächtem Immunsystem, einschließlich HIV/AIDS-Patienten, Krebskranken oder Personen, die immunsuppressive Medikamente einnehmen, sind anfälliger für die Entwicklung einer disseminierten Blastomykose, einschließlich der kutanen Form.
- Berufliche Gefährdung: Berufe, bei denen man mit dem Boden in Berührung kommt, wie z. B. Bauarbeiten, Landschaftsbau und landwirtschaftliche Arbeiten in endemischen Regionen, erhöhen das Risiko, Sporen einzuatmen.
Diese Faktoren erhöhen zwar die Wahrscheinlichkeit, an kutaner Blastomykose zu erkranken, aber nicht jeder, der diesen Risiken ausgesetzt ist, erkrankt auch daran. Umgekehrt können auch Personen, die diesen Risikofaktoren nicht ausgesetzt sind, an der Infektion erkranken, was auf die Variabilität der individuellen Anfälligkeit und die Komplexität von Pilzinfektionen hinweist.
Krankheitsverlauf und Prognose
Das Verständnis des Krankheitsverlaufs und der möglichen Folgen der kutanen Blastomykose ist entscheidend für eine wirksame Behandlung der Krankheit. Der Verlauf und der Schweregrad dieser Pilzinfektion können erheblich variieren, was sich auf den Behandlungsansatz und die Gesamtprognose auswirkt.
Krankheitsverlauf:
Die kutane Blastomykose entwickelt sich in der Regel als sekundäre Manifestation der pulmonalen Blastomykose, wenn sich Blastomyces dermatitidis von der Lunge auf die Haut ausbreitet. Zu dieser Ausbreitung kann es kommen, wenn es dem Immunsystem nicht gelingt, die ursprüngliche Lungeninfektion einzudämmen. Die Hautläsionen treten in der Regel Wochen oder Monate nach dem Auftreten der Lungensymptome auf und beginnen als kleine Knötchen oder Pusteln, die sich im Laufe der Zeit zu größeren ulzerativen Läsionen entwickeln können. Die Geschwindigkeit des Fortschreitens kann je nach Immunstatus des Betroffenen und dem Ausmaß der Pilzbelastung sehr unterschiedlich sein.
Prognose:
Die Prognose für Patienten mit kutaner Blastomykose hängt weitgehend von der Rechtzeitigkeit und Wirksamkeit der antimykotischen Behandlung ab. Bei frühzeitiger Diagnose und angemessener Behandlung erholen sich die meisten Patienten mit minimaler Narbenbildung gut. Wird die Diagnose jedoch verspätet gestellt oder ist der Patient immungeschwächt, kann die Krankheit zu schwereren Komplikationen wie ausgedehnten Hautschäden, Narbenbildung und sogar zur Ausbreitung auf andere Organe führen, was potenziell lebensbedrohlich sein kann. Eine regelmäßige Überwachung und eine langfristige antimykotische Therapie sind häufig erforderlich, um die Krankheit wirksam zu behandeln und einen Rückfall zu verhindern.
Prävention
Die Vorbeugung der kutanen Blastomykose besteht in erster Linie darin, das Risiko einer Exposition gegenüber Blastomyces dermatitidis, dem für die Infektion verantwortlichen Pilz, zu verringern. Da die Hauterkrankung häufig aus einer disseminierten Infektion resultiert, die in der Lunge beginnt, konzentrieren sich die Maßnahmen darauf, die Inhalation der Pilzsporen, die bekanntermaßen die Krankheit auslösen, zu begrenzen.
Meiden von Hochrisikogebieten:
Eine der wichtigsten Präventionsmaßnahmen ist es, sich von Aktivitäten in Regionen fernzuhalten, in denen Blastomyces dermatitidis endemisch ist. Zu diesen Regionen gehören die Gebiete um die Flusstäler des Ohio und des Mississippi sowie um die Großen Seen, wo der Pilz in feuchter Erde und bewaldeten Umgebungen gedeiht. Es ist von entscheidender Bedeutung, die Exposition in diesen Gebieten einzuschränken, insbesondere bei Tätigkeiten, die den Boden stören und Sporen freisetzen können.
Verwendung von persönlicher Schutzausrüstung (PSA):
Für Personen, die sich aufgrund ihres Berufs oder aus anderen Gründen in endemischen Gebieten aufhalten müssen, ist die Verwendung geeigneter Schutzausrüstung unerlässlich. Dazu gehört das Tragen von N95-Masken, um das Einatmen von Sporen zu verhindern, und von Schutzkleidung, die die Haut bedeckt, um den direkten Kontakt mit kontaminierten Materialien zu vermeiden.
Umweltkontrollen:
Die Durchführung von Umweltkontrollen in Bereichen, die für eine Blastomyces-Exposition anfällig sind, kann das Infektionsrisiko erheblich verringern. Dazu gehören Managementstrategien wie die Kontrolle von Staub während der Bauarbeiten, die Befeuchtung des Bodens, bevor er bewegt wird, und die ordnungsgemäße Entsorgung von Materialien, die den Pilz beherbergen könnten.
Aufklärung und Bewusstseinsbildung:
Die Sensibilisierung für die Risiken der Blastomykose und die vorbeugenden Maßnahmen ist von entscheidender Bedeutung, insbesondere für Menschen, die in endemischen Gebieten leben oder diese besuchen. Durch Aufklärung kann der Einzelne in die Lage versetzt werden, proaktiv Maßnahmen zu ergreifen, um eine Exposition zu vermeiden und frühe Krankheitssymptome zu erkennen, damit sie umgehend behandelt werden können.
Regelmäßige Gesundheitsüberwachung:
Für Menschen, die in Hochrisikogebieten leben oder häufig dorthin reisen, können regelmäßige Gesundheitsüberwachung und Vorsorgeuntersuchungen dazu beitragen, die Krankheit in ihrem Frühstadium zu erkennen, bevor sie sich ausbreiten und die Haut befallen kann. Das Bewusstsein für die eigene Gesundheit und die Wachsamkeit in Bezug auf Symptome wie Atemprobleme können zu einer früheren Diagnose und Behandlung führen und so schwerwiegendere Erscheinungsformen wie die kutane Blastomykose verhindern.
Zusammenfassung
Bei der Blastomykose der Haut handelt es sich um eine sekundäre Pilzinfektion, die entsteht, wenn Blastomyces dermatitidis, der typischerweise über die Lunge übertragen wird, auf die Haut übergreift. Sie ist durch verschiedene Läsionstypen wie Pusteln, Geschwüre und verruköse Wucherungen gekennzeichnet. Diese Symptome können schmerzhaft sein und andere dermatologische Erkrankungen imitieren, was ihre Diagnose erschwert. Die Diagnose umfasst die direkte Visualisierung des Pilzes durch Hautbiopsien oder Laborkulturen, wobei PCR-Tests für den schnellen Nachweis zur Verfügung stehen. Die Behandlung erfolgt in erster Linie mit antimykotischen Mitteln wie Itraconazol oder in schweren Fällen mit Amphotericin B, das über einen längeren Zeitraum verabreicht werden muss, um eine vollständige Ausrottung zu gewährleisten. Zu den Risikofaktoren gehören bodenverändernde Tätigkeiten in endemischen Gebieten und immungeschwächte Personen, so dass die Prävention durch das Tragen von Schutzkleidung und die Minimierung des Kontakts mit risikoreichen Umgebungen entscheidend ist. Eine frühzeitige Erkennung und Behandlung ist entscheidend für die Verhinderung schwerwiegender Folgen und ein wirksames Management dieser Erkrankung.
